Dental Hypoplasia in Children: Symptoms, Causes, and Treatment

Tooth anomalies and defects are disorders that affect many children and worry their parents. An example of this is dental hypoplasia in children.
This problem in the dental pieces not only alters their esthetic appearance but also predisposes kids to suffer other problems, such as cavities or dental sensitivity.
That’s why it’s important to make an early diagnosis and carry out timely treatment. On the one hand, to improve the quality of life of the child, and on the other, to avoid problems in the future. Keep reading!
What is dental hypoplasia in children?
Dental hypoplasia in children is a problem in the development of the enamel. Those who suffer from this condition have one or more teeth with a lower amount of this tissue or with a low quality of it.
In general, it happens when the dental element is in formation, that is, before it comes out in the mouth. Therefore, it’s commonly detected at early ages when the teeth have just erupted.
To better understand this disorder, it’s important to know that enamel is the outermost and most superficial tissue of the dental elements. It’s largely made up of calcium crystals and other minerals, and is considered the hardest and most resistant material in the body. Its main function is to cover and protect the teeth.
So, in dental hypoplasia, the enamel is insufficient or weakened. As we’ll tell you later, different factors can alter the development process of the dental elements and cause this problem.
The appearance of dental hypoplasia in children varies according to the severity of the problem. In some cases, it’s very evident, and other times, it’s only detected by the expert eye of a pediatric dentist. Let’s take a closer look at its manifestations.

What are the symptoms of dental hypoplasia in children?
As we’ve already mentioned, the severity of dental hypoplasia in children can vary. Mild degrees may not be very evident and can only be detected by the dentist.
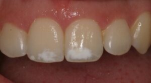
But in other cases, it’s the parents who notice the manifestations of the problem in the teeth of their little ones. White spots or dots, lines, fissures, pits, grooves, or dents on the surface of the enamel can be observed. In addition, the texture of the defect is rough and dull.
There are cases where dental hypoplasia in children looks yellowish or brownish in color, as the underlying dentin is uncovered. And on rarer occasions, the shape of the tooth may be altered. Even when the disorder is very severe, there may be a total absence of enamel and the teeth look smaller and more deformed than the others.
When the enamel is compromised, some extra complications may occur, such as soft teeth, tooth sensitivity, and a greater predisposition to suffer from cavities and gingivitis. As they have less protection against acids and a greater presence of structural defects, it facilitates the retention of bacterial plaque.
The causes of dental hypoplasia
Sometimes it’s difficult to find the cause that gives rise to dental hypoplasia in children, as the problem occurs during the development of the dental element within the gum.
Most of the time, it’s situations or conditions that occur in the first years of the child’s life that cause this problem. These are some of the common circumstances that can cause enamel hypoplasia:
- Problems during pregnancy: The dental elements begin to form while the child’s still in the mother’s womb. Certain diseases of the mother, such as infections with high fever, the consumption of certain medications, or nutritional deficiencies during gestation can cause dental hypoplasia in the developing fetus.
- Problems in early childhood: Premature births, low birth weight, vitamin deficiency, malnutrition, infections, prolonged febrile syndromes, or systemic diseases at early ages can cause this dental defect.
- Trauma: Blows to the mouth during childhood can affect the milk tooth and, through its root, injure the germ of the permanent tooth that’s forming underneath. The permanent tooth will be the one that presents hypoplasia when erupting.
- Heredity: Some inherited genetic patterns can affect tooth formation. Sometimes it’s present in a single tooth, and other times, several elements are involved. In some cases, it’s even associated with other symptoms that make up a more complex syndrome.
The treatment of dental hypoplasia in children
Detecting dental hypoplasia in children early allows the problem to be addressed before complications appear. For this reason, regular consultations and check-ups with the pediatric dentist are essential.
In routine examinations, the professional will be able to find any evidence of the defect and act early. Depending on the type of dentition affected, deciduous or permanent, the size and appearance of the lesion will be the procedures to choose.
Dentists have several alternatives to treat dental hypoplasia in children. When defects appear in baby teeth, professionals usually decide to control the situation, maintaining thorough oral hygiene and making frequent topications with fluoride. This way, we try to avoid the complications of the disorder, such as cavities, gingivitis, and sensitivity.
If the self-esteem of the child is very affected by the appearance of their teeth, we can resort to some aesthetic procedures that are appropriate for their age.
In the case of permanent teeth, we usually opt for the use of sealants. Imperfections are covered with a filling material of the same color as the teeth in good condition.
When stains are very noticeable, dental microabrasion can be used. This is a procedure in which the tooth enamel is polished and then covered with resins of the same color as the normal tooth.
In the most severe situations, in which the teeth have lost much of their enamel or are deformed, reconstructions with resins are appropriate. At least until the child reaches an appropriate age to resort to another type of esthetic treatment.
Tooth whitening, veneers, and porcelain crowns are dental esthetic treatments that are useful to improve the appearance of teeth with dental hypoplasia. But their use isn’t recommended until adulthood.

Act promptly
Dental hypoplasia in children, most of the time, can’t be prevented. But if you detect any signs that make you suspect that your little one is suffering from this problem, it’s best to seek professional help as soon as possible. The sooner it’s diagnosed and acted upon, the less risk of complications there will be.
In addition, oral health care with proper oral hygiene, a healthy diet, and regular visits to the pediatric dentist are key to avoiding negative consequences. With this basic care, you can protect the enamel of your child’s teeth and help them to have a healthy smile.
Tooth anomalies and defects are disorders that affect many children and worry their parents. An example of this is dental hypoplasia in children.
This problem in the dental pieces not only alters their esthetic appearance but also predisposes kids to suffer other problems, such as cavities or dental sensitivity.
That’s why it’s important to make an early diagnosis and carry out timely treatment. On the one hand, to improve the quality of life of the child, and on the other, to avoid problems in the future. Keep reading!
What is dental hypoplasia in children?
Dental hypoplasia in children is a problem in the development of the enamel. Those who suffer from this condition have one or more teeth with a lower amount of this tissue or with a low quality of it.
In general, it happens when the dental element is in formation, that is, before it comes out in the mouth. Therefore, it’s commonly detected at early ages when the teeth have just erupted.
To better understand this disorder, it’s important to know that enamel is the outermost and most superficial tissue of the dental elements. It’s largely made up of calcium crystals and other minerals, and is considered the hardest and most resistant material in the body. Its main function is to cover and protect the teeth.
So, in dental hypoplasia, the enamel is insufficient or weakened. As we’ll tell you later, different factors can alter the development process of the dental elements and cause this problem.
The appearance of dental hypoplasia in children varies according to the severity of the problem. In some cases, it’s very evident, and other times, it’s only detected by the expert eye of a pediatric dentist. Let’s take a closer look at its manifestations.

What are the symptoms of dental hypoplasia in children?
As we’ve already mentioned, the severity of dental hypoplasia in children can vary. Mild degrees may not be very evident and can only be detected by the dentist.
But in other cases, it’s the parents who notice the manifestations of the problem in the teeth of their little ones. White spots or dots, lines, fissures, pits, grooves, or dents on the surface of the enamel can be observed. In addition, the texture of the defect is rough and dull.
There are cases where dental hypoplasia in children looks yellowish or brownish in color, as the underlying dentin is uncovered. And on rarer occasions, the shape of the tooth may be altered. Even when the disorder is very severe, there may be a total absence of enamel and the teeth look smaller and more deformed than the others.
When the enamel is compromised, some extra complications may occur, such as soft teeth, tooth sensitivity, and a greater predisposition to suffer from cavities and gingivitis. As they have less protection against acids and a greater presence of structural defects, it facilitates the retention of bacterial plaque.
The causes of dental hypoplasia
Sometimes it’s difficult to find the cause that gives rise to dental hypoplasia in children, as the problem occurs during the development of the dental element within the gum.
Most of the time, it’s situations or conditions that occur in the first years of the child’s life that cause this problem. These are some of the common circumstances that can cause enamel hypoplasia:
- Problems during pregnancy: The dental elements begin to form while the child’s still in the mother’s womb. Certain diseases of the mother, such as infections with high fever, the consumption of certain medications, or nutritional deficiencies during gestation can cause dental hypoplasia in the developing fetus.
- Problems in early childhood: Premature births, low birth weight, vitamin deficiency, malnutrition, infections, prolonged febrile syndromes, or systemic diseases at early ages can cause this dental defect.
- Trauma: Blows to the mouth during childhood can affect the milk tooth and, through its root, injure the germ of the permanent tooth that’s forming underneath. The permanent tooth will be the one that presents hypoplasia when erupting.
- Heredity: Some inherited genetic patterns can affect tooth formation. Sometimes it’s present in a single tooth, and other times, several elements are involved. In some cases, it’s even associated with other symptoms that make up a more complex syndrome.
The treatment of dental hypoplasia in children
Detecting dental hypoplasia in children early allows the problem to be addressed before complications appear. For this reason, regular consultations and check-ups with the pediatric dentist are essential.
In routine examinations, the professional will be able to find any evidence of the defect and act early. Depending on the type of dentition affected, deciduous or permanent, the size and appearance of the lesion will be the procedures to choose.
Dentists have several alternatives to treat dental hypoplasia in children. When defects appear in baby teeth, professionals usually decide to control the situation, maintaining thorough oral hygiene and making frequent topications with fluoride. This way, we try to avoid the complications of the disorder, such as cavities, gingivitis, and sensitivity.
If the self-esteem of the child is very affected by the appearance of their teeth, we can resort to some aesthetic procedures that are appropriate for their age.
In the case of permanent teeth, we usually opt for the use of sealants. Imperfections are covered with a filling material of the same color as the teeth in good condition.
When stains are very noticeable, dental microabrasion can be used. This is a procedure in which the tooth enamel is polished and then covered with resins of the same color as the normal tooth.
In the most severe situations, in which the teeth have lost much of their enamel or are deformed, reconstructions with resins are appropriate. At least until the child reaches an appropriate age to resort to another type of esthetic treatment.
Tooth whitening, veneers, and porcelain crowns are dental esthetic treatments that are useful to improve the appearance of teeth with dental hypoplasia. But their use isn’t recommended until adulthood.

Act promptly
Dental hypoplasia in children, most of the time, can’t be prevented. But if you detect any signs that make you suspect that your little one is suffering from this problem, it’s best to seek professional help as soon as possible. The sooner it’s diagnosed and acted upon, the less risk of complications there will be.
In addition, oral health care with proper oral hygiene, a healthy diet, and regular visits to the pediatric dentist are key to avoiding negative consequences. With this basic care, you can protect the enamel of your child’s teeth and help them to have a healthy smile.
All cited sources were thoroughly reviewed by our team to ensure their quality, reliability, currency, and validity. The bibliography of this article was considered reliable and of academic or scientific accuracy.
- Gamboa Valdez, M. R. (2016). hipoplasia del esmalte en paciente de 6 años sexo masculino. analisis de caso (Bachelor’s thesis, Universidad de Guayaquil. Facultad Piloto de Odontología).
- Margot, N. C. A., & Rubén, M. S. (2014). Tratamiento estético conservador con microabrasión sobre hipoplasias del esmalte en dientes permanentes jóvenes. Revista Tamé, 271-274.
- Silva, S. M. B. D., Lanza, C. R. M., Oliveira, F. S. D., & Machado, M. A. D. A. M. (1999). Tratamiento de hipoplasia del esmalte con la técnica de microabrasión en odontopediatría. Revista Odontológica Dominicana, 5(1), 9-14.
- Molina Morales, H., & Galván Calle, M. (2008). TRATAMIENTO DE DIENTES PERMANENTES JÓVENESCON HIPOPLASIA DEL ESMALTE. REPORTE DE CASO.
- Páucar, M. Á., Gonzales, K. Q., Cruces, V. R., & Obregón, R. M. C. (2009). Microabrasión dental para pacientes odontopediátricos: Una alternativa estética. Odontología sanmarquina, 12(2), 86-89.
- Ancco Olaguivel, N. R. (2017). Relación de la ingesta de amoxicilina con la hipoplasia de esmalte en niños de 7-10 años del hospital Rafael Ortiz Ravinez Juli–2016.
- Salazar, J. F. T., & Ortega, D. R. (2017). Signos dentales de la sífilis congénita. Revista Asociación Dental Mexicana, 74(6), 286-292.
- Poma Torres, E. M. (2021). Manejo y protocolo de atención de la hipoplasia en niños (Bachelor’s thesis, Universidad de Guayaquil. Facultad Piloto de Odontología).
- Rivera Molina, D., & Jiménez del Río, P. (2015). Hipoplasia del esmalte y su asociación con caries en niños de 5 a 14 años, en la provincia de Talca, 2015 (Doctoral dissertation, Universidad de Talca (Chile). Escuela de Odontología.).
- Ochoa Enríquez, K. J. (2015). Hipoplasias localizadas en los primeros molares permanentes y su tratamiento (Bachelor’s thesis, Universidad de Guayaquil. Facultad Piloto de Odontología).
This text is provided for informational purposes only and does not replace consultation with a professional. If in doubt, consult your specialist.







